• МРТ забрюшинного пространства (почки, надпочечники, лимфоузлы)
  • МРТ забрюшинного пространства (ночь 22.00-08.00почки, надпочечники, лимфоузлы))

Какие патологии выявляет

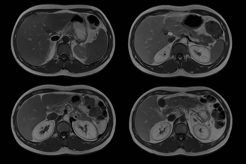
МРТ забрюшинного пространства с контрастом — информативный метод диагностики, позволяющий подробно рассмотреть внутренние органы и ткани, расположенные за брюшиной. После введения препарата врач получает четкие снимки, на которых видны мельчайшие сосуды и изменения структуры тканей.

Исследование помогает выявить воспаления, кисты, опухоли, аневризмы, последствия травм. При контрастном усилении становится заметна граница между здоровыми и измененными участками. Особенно ценно такое обследование при подозрении на патологии почек, надпочечников и поджелудочной железы.

Магнитно-резонансная томография с контрастом используется для оценки динамики лечения и контроля состояния после операций. Исследование проводится без облучения, подходит для пациентов любого возраста и помогает врачу подобрать эффективное лечение.

Показания к проведению

МРТ забрюшинного пространства с контрастом рекомендуют пройти, если требуется точная визуализация органов и тканей, недоступных для УЗИ или рентгена. Поводом для назначения могут быть:

  • боли или тяжесть в пояснице, животе;
  • подозрение на опухоль или метастазы;
  • воспаление почек, надпочечников, поджелудочной железы;
  • подготовка к операции;
  • контроль динамики после лечения;
  • уточнение результатов других исследований.

Пациенты часто спрашивают, где сделать МРТ забрюшинного пространства с контрастом в Москве, чтобы получить быстрый результат. В медицинском центре «Чудо Доктор» используется современное оборудование, обеспечивающее точную визуализацию и комфорт во время сканирования.

Противопоказания

Метод безопасен, но есть ограничения. Магнитно-резонансная томография с контрастным веществом не проводится:

  • при кардиостимуляторах и металлических имплантах;
  • тяжелой почечной недостаточности;
  • аллергии на контрастный препарат;
  • выраженной клаустрофобии.

Беременным обследование допускается только по показаниям. Перед тем как сделать МРТ забрюшинного пространства с контрастом, врач оценивает общее состояние, чтобы исключить риски и подобрать подходящий тип контраста.

Как подготовиться к исследованию

Для точного результата важна подготовка. За 5–6 часов до процедуры нельзя есть, а за сутки следует исключить газированные напитки, бобовые и сладости. Перед обследованием нужно снять все металлические предметы.

Если пациент принимает лекарства постоянно, об этом стоит заранее сообщить врачу. При заболеваниях почек дополнительно проверяют уровень креатинина.

В клинике «Чудо Доктор» специалисты объясняют каждый этап и следят за самочувствием во время обследования. При необходимости подбирают индивидуальную дозу контрастного препарата, чтобы исследование проводилось максимально безопасно.

Как проводится

Процедура МРТ забрюшинного пространства с контрастным веществом проходит на аппаратах экспертного класса. Пациент располагается на подвижном столе, который плавно задвигается в томограф.

Сначала выполняется серия снимков без контраста, затем вводится препарат, усиливающий контрастность тканей. После этого делают вторую серию сканирования.

Магнитно-резонансная томография с контрастированием позволяет врачу рассмотреть сосуды, мягкие структуры и лимфатические узлы. Во время обследования пациент не испытывает боли. В среднем процедура занимает около 30–40 минут, после чего можно сразу вернуться к обычным делам.

Расшифровка

После магнитно-резонансной томографии с контрастным веществом врач анализирует изображения. В заключении указываются форма и структура органов, характер накопления контраста, состояние сосудов и лимфоузлов.

МРТ забрюшинного пространства с контрастированием помогает отличить воспаление от опухоли и определить границы патологического процесса. Результаты доступны в день обращения. Пациент получает отчет и диск с изображениями.

На основании заключения специалист подбирает эффективное лечение или направляет к профильному врачу. Если нужно уточнить, сколько стоит МРТ забрюшинного пространства с контрастом, сотрудники центра подробно расскажут о вариантах и помогут выбрать удобное время обследования.

Вопрос / ответ

Для чего проводится?

Метод помогает точно оценить состояние внутренних органов и сосудов, выявить воспаления и опухоли, а также контролировать результат лечения.

Как долго ждать результатов?

Заключение обычно готово в течение 1–2 часов после сканирования. При сложных находках врач может потратить больше времени на анализ.

Какая длительность процедуры?

Средняя длительность обследования — около 35 минут. На время влияет объем сканирования и количество фаз контрастного усиления.

Автор

рентгенолог, врач-рентгенолог

Стаж 14 лет
МРТ Показать все

Акция МРТ ночью со скидкой 01 февраля 2026 - 16 февраля 2026 Подробнее

МРТ забрюшинного пространства с контрастом - цены

  • Диагностика
  • МРТ забрюшинного пространства (почки, надпочечники, лимфоузлы)
    9900
  • МРТ забрюшинного пространства (ночь 22.00-08.00почки, надпочечники, лимфоузлы))
    7000

Показать всех
Дружинина  Елена Николаевна Дружинина Елена Николаевна Дружинина Елена Николаевна

врач-рентгенолог

Стаж 28 лет
  • ДМС
Чугаев Антон Иванович Чугаев Антон Иванович Чугаев Антон Иванович

врач-рентгенолог

Стаж 23 лет
  • ДМС
Мотина Анастасия Николаевна Мотина Анастасия Николаевна Мотина Анастасия Николаевна

врач-рентгенолог, рентгенолог

Стаж 4 лет
  • ДМС
Ильин Борис Сергеевич Ильин Борис Сергеевич Ильин Борис Сергеевич

врач-рентгенолог

Стаж 12 лет
  • ДМС
Малахова  Мария Владимировна Малахова Мария Владимировна Малахова Мария Владимировна

рентгенолог, врач-рентгенолог

  • ДМС
Бахчоян Вардан Рубенович Бахчоян Вардан Рубенович Бахчоян Вардан Рубенович

рентгенолог, врач-рентгенолог

Стаж 14 лет Отзывы (1)
  • ДМС
Шаповалова Евгения Петровна Шаповалова Евгения Петровна Шаповалова Евгения Петровна

врач-рентгенолог

Стаж 4 лет
  • ДМС
Тухтаев Улугбек Турсунбаевич Тухтаев Улугбек Турсунбаевич Тухтаев Улугбек Турсунбаевич

рентгенолог, врач-рентгенолог

Врач высшей категории, кандидат медицинских наук Стаж 42 лет Отзывы (2)
  • ДМС

Запишитесь на прием онлайн

Без очередей и длительного ожидания, в удобное для вас время к любому врачу

Записаться на диагностику
Запишитесь на прием онлайн

Отзывы

  • 09 февраля 2026

    Делали МРТ головного мозга в вечерние часы, понравилось отсутствие очередей, приняли по записи, вежливое обращение персонала и четкость действий, все рассказали и объяснили, процедура у ребенка прошла на ура. Ну и цена услуги очень приятная для Москвы.

  • 03 августа 2022

    Огромная благодарность доктору Тухтаеву за его профессионализм!!! Благодаря грамотному описанию КТ удалось вовремя начать лечение и избежать приема кучи ненужных лекарств, тк клиническая картина (общее самочувствие и состояние) была намного "страшнее", чем оказались истинные результаты кт. Спасибо огромное, Доктор!!!

  • 07 января 2022

    Самый хороший из лучших рентгенолог

Не нашли интересующую вас услугу?

Оставьте ваши контактные данные и мы свяжемся с вами и постараемся помочь

Нажимая «Связаться», я подтверждаю, что даю согласие на обработку персональных данных и согласен с  условиями политики конфиденциальности

Лицензии и сертификаты
  • Лицензии
  • Сертификаты
  • Свидетельства
Пол
Документ, подтверждающий личность
Город проживания
Страна проживания:
Адрес места жительства:
Если адрес регистрации не совпадает:
Телефон
Вы работаете или учитесь:
Место работы или учебы:
Должность
Адрес работы или учебы:
Дата последнего посещения работы/учебы:
Поездки за границу:
Страна, которую вы посещали:
Дата прибытия в РФ:
Наличие контакта с больным ОРЗ/ОРВИ:
Дата контакта:
Есть ли у вас симптомы ОРЗ/ОРВИ:
Опишите симптомы:
Делали ли вы вакцину от COVID-19:
Наименование Вакцины:
Дата Вакцинации 1 этап:
Дата Вакцинации 2 этап:
Эл. почта
Отправить