Что показывает

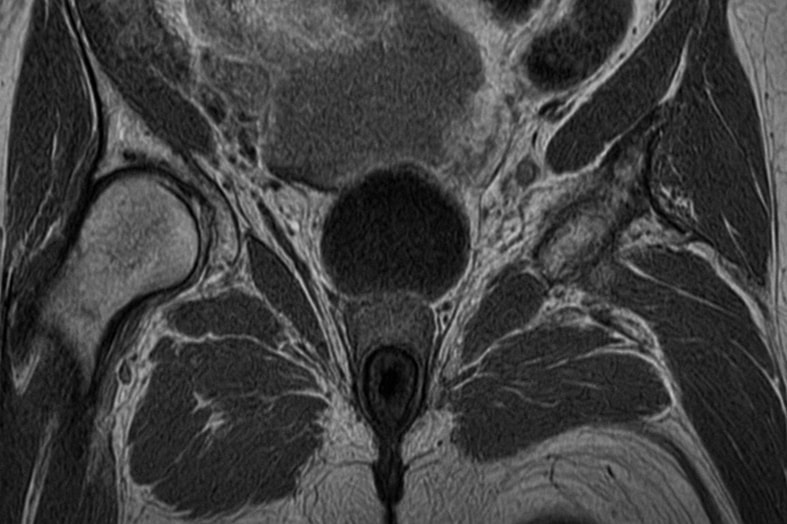
МРТ анального канала — это современный метод диагностики, который позволяет врачу детально оценить состояние тканей аноректальной зоны. Исследование помогает выявить воспаления, трещины, полипы, свищи и новообразования. Благодаря высокому разрешению снимков можно определить даже минимальные изменения структуры слизистой и мышц сфинктера.

Если пациенту необходимо пройти МРТ анального канала в Москве, клиника «Чудо Доктор» проводит обследование на высокоточном оборудовании. Используемые аппараты МРТ дают четкие изображения, что важно для точной диагностики и планирования лечения.

Показания к проведению

Обследование назначают при болях, выделениях, нарушении стула и ощущении инородного тела в прямой кишке. Метод применяют для выявления воспалительных процессов, свищевых ходов и подозрений на рак.

Также МРТ анального отверстия используется при подозрении на различные заболевания кишечника. Процедура необходима для оценки состояния тканей перед хирургическим лечением и послеоперационного контроля.

Противопоказания

Магнитно-резонансная томография анального канала не проводится пациентам с кардиостимуляторами, металлическими имплантами и фрагментами, а также при выраженной клаустрофобии. При беременности в первом триместре исследование откладывают.

Магнитно-резонансная томография анального отверстия может быть ограничена при почечной недостаточности, если требуется контраст. В таких случаях выполняют нативное сканирование без контрастного усиления.

Как подготовиться к исследованию

За сутки до процедуры исключают продукты, вызывающие метеоризм, и при необходимости делают легкую очистку кишечника. Непосредственно перед исследованием нужно снять украшения и предметы из металла.

Перед тем как сделать МРТ анального канала, важно предупредить врача о наличии имплантов и хронических заболеваний. Такая подготовка повышает качество проведения исследования и гарантирует достоверные результаты.

Как проводится процедура

Процедура МРТ анального канала выполняется в спокойной обстановке. Пациент ложится на подвижный стол, который задвигается в тоннель томографа. Во время сканирования применяются методы визуализации, формирующие серию послойных изображений области малого таза.

При необходимости вводится контрастное вещество для уточнения сосудистого рисунка и выявления даже небольших образований. Современные методы обследования позволяют обнаружить патологии на ранней стадии, включая признаки злокачественных опухолей.

Расшифровка

После завершения процедуры врач-радиолог анализирует полученный снимок. На нем четко видны контуры тканей и структура сфинктера. Результаты МРТ позволяют определить степень воспаления, наличие кист, рубцовых изменений и новообразований.

По итогам обследования пациент получает заключение, включающее результаты диагностики и рекомендации лечащего специалиста. На основе данных подбираются оптимальные методы исследования и последующего лечения.

Такая точность особенно важна при диагностике рака и оценке злокачественных опухолей, когда необходима точная диагностика для выбора тактики терапии.

От чего зависит цена

Стоимость исследования зависит от модели томографа, необходимости контрастирования и сложности протокола диагностического исследования. Для уточнения, сколько стоит МРТ анального отверстия, можно заказать обратный звонок на сайте клиники. Специалист ответит на все вопросы. Также он подробно расскажет, где пройти МРТ анального отверстия, и запишет на удобное время, актуальная цена зависит от выбранного формата проведения процедуры и длительности сеанса.

Вопрос / Ответ

Для чего проводится МРТ анального канала?

Метод используют для оценки состояния тканей аноректальной зоны, выявления свищей и воспалений, а также для уточнения стадии опухолей в области отверстия и прямой кишки.

Как долго ждать результатов?

Заключение выдают через 1–2 часа после обследования. В сложных случаях результаты уточняют в тот же день после консультации врача.

Какая длительность процедуры?

Сканирование при МРТ анального канала занимает 20–30 минут, включая настройку оборудования и получение серии снимков.

Автор

врач-рентгенолог

Стаж 23 лет
МРТ Показать все

Акция МРТ ночью со скидкой 01 февраля 2026 - 16 февраля 2026 Подробнее


Показать всех
Дружинина  Елена Николаевна Дружинина Елена Николаевна Дружинина Елена Николаевна

врач-рентгенолог

Стаж 28 лет
  • ДМС
Чугаев Антон Иванович Чугаев Антон Иванович Чугаев Антон Иванович

врач-рентгенолог

Стаж 23 лет
  • ДМС
Мотина Анастасия Николаевна Мотина Анастасия Николаевна Мотина Анастасия Николаевна

врач-рентгенолог, рентгенолог

Стаж 4 лет
  • ДМС
Ильин Борис Сергеевич Ильин Борис Сергеевич Ильин Борис Сергеевич

врач-рентгенолог

Стаж 12 лет
  • ДМС
Малахова  Мария Владимировна Малахова Мария Владимировна Малахова Мария Владимировна

рентгенолог, врач-рентгенолог

  • ДМС
Бахчоян Вардан Рубенович Бахчоян Вардан Рубенович Бахчоян Вардан Рубенович

рентгенолог, врач-рентгенолог

Стаж 14 лет Отзывы (1)
  • ДМС
Шаповалова Евгения Петровна Шаповалова Евгения Петровна Шаповалова Евгения Петровна

врач-рентгенолог

Стаж 4 лет
  • ДМС
Тухтаев Улугбек Турсунбаевич Тухтаев Улугбек Турсунбаевич Тухтаев Улугбек Турсунбаевич

рентгенолог, врач-рентгенолог

Врач высшей категории, кандидат медицинских наук Стаж 42 лет Отзывы (2)
  • ДМС

Запишитесь на прием онлайн

Без очередей и длительного ожидания, в удобное для вас время к любому врачу

Записаться на диагностику
Запишитесь на прием онлайн

Отзывы

  • 09 февраля 2026

    Делали МРТ головного мозга в вечерние часы, понравилось отсутствие очередей, приняли по записи, вежливое обращение персонала и четкость действий, все рассказали и объяснили, процедура у ребенка прошла на ура. Ну и цена услуги очень приятная для Москвы.

  • 03 августа 2022

    Огромная благодарность доктору Тухтаеву за его профессионализм!!! Благодаря грамотному описанию КТ удалось вовремя начать лечение и избежать приема кучи ненужных лекарств, тк клиническая картина (общее самочувствие и состояние) была намного "страшнее", чем оказались истинные результаты кт. Спасибо огромное, Доктор!!!

  • 07 января 2022

    Самый хороший из лучших рентгенолог

Не нашли интересующую вас услугу?

Оставьте ваши контактные данные и мы свяжемся с вами и постараемся помочь

Нажимая «Связаться», я подтверждаю, что даю согласие на обработку персональных данных и согласен с  условиями политики конфиденциальности

Лицензии и сертификаты
  • Лицензии
  • Сертификаты
  • Свидетельства
Пол
Документ, подтверждающий личность
Город проживания
Страна проживания:
Адрес места жительства:
Если адрес регистрации не совпадает:
Телефон
Вы работаете или учитесь:
Место работы или учебы:
Должность
Адрес работы или учебы:
Дата последнего посещения работы/учебы:
Поездки за границу:
Страна, которую вы посещали:
Дата прибытия в РФ:
Наличие контакта с больным ОРЗ/ОРВИ:
Дата контакта:
Есть ли у вас симптомы ОРЗ/ОРВИ:
Опишите симптомы:
Делали ли вы вакцину от COVID-19:
Наименование Вакцины:
Дата Вакцинации 1 этап:
Дата Вакцинации 2 этап:
Эл. почта
Отправить