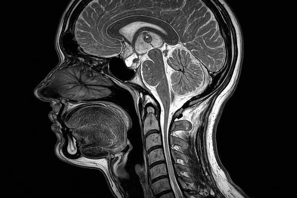
МРТ краниовертебрального перехода применяется для комплексной оценки анатомически сложной зоны, где основание черепа соединяется с верхними сегментами шейного отдела позвоночника. Именно эта область играет основную роль в передаче нервных импульсов и кровоснабжении головного мозга. Поэтому любые изменения могут сопровождаться выраженной неврологической симптоматикой.

Что собой представляет исследование

МРТ краниовертебрального перехода — это высокоточный метод магнитно-резонансной визуализации, направленный на исследование затылочной кости, атланта, аксиса, верхних отделов спинного мозга, суставных поверхностей, связок и мягких тканей. Технология основана на взаимодействии атомов водорода с магнитным полем, что позволяет получать детальные изображения без использования рентгеновского излучения и с высокой контрастностью структур.

Показания

МРТ краниовертебрального перехода назначается при клинических признаках, указывающих на возможное поражение данной зоны. Основные показания включают:

  • хронические или приступообразные головные боли;

  • боли в области шеи, усиливающиеся при движении;

  • головокружения, обморочные состояния;

  • нарушения координации и походки;

  • снижение чувствительности или слабость в конечностях;

  • последствия травм шейного отдела;

  • подозрение на врожденные аномалии;

  • симптомы компрессии спинного мозга или сосудов.

Что показывает исследование

МРТ краниовертебрального перехода дает возможность выявить как структурные, так и функциональные изменения. В ходе исследования диагностируются:

  • аномалии развития костных элементов;

  • дегенеративно-дистрофические изменения;

  • воспалительные процессы;

  • опухолевые образования и кисты;

  • посттравматические изменения;

  • смещение позвонков;

  • состояние спинного мозга, связочного аппарата и окружающих тканей.

Подготовка к исследованию

Подготовка минимальна и не требует изменения привычного образа жизни. Перед процедурой рекомендуется:

  • удалить все металлические предметы;

  • сообщить врачу о наличии имплантов и медицинских устройств;

  • предупредить о беременности или выраженной тревожности;

  • надеть удобную одежду без металлической фурнитуры.

Как проходит процедура

МРТ краниовертебрального перехода проводится в положении лежа на спине. Для получения четких изображений голова пациента фиксируется. Во время сканирования аппарат издает характерные звуки, что считается нормой. Процедура не сопровождается болевыми ощущениями и хорошо переносится большинством пациентов при соблюдении неподвижности.

Результаты исследования

После завершения сканирования проводится анализ полученных данных. Пациенту предоставляются:

  • развернутое письменное заключение врача-рентгенолога;

  • серия изображений в цифровом формате;

  • возможность дальнейшего использования результатов для консультаций и планирования лечения.

Преимущества метода

Метод обладает рядом клинически значимых преимуществ:

  • высокая пространственная и контрастная точность;

  • отсутствие ионизирующего излучения;

  • возможность многократного применения;

  • информативность при исследовании сложных анатомических зон;

  • раннее выявление патологических изменений.

Противопоказания

Абсолютными противопоказаниями считаются кардиостимуляторы и ферромагнитные импланты. К относительным ограничениям относят первый триместр беременности и выраженную клаустрофобию, требующую индивидуального подхода.

В клинике можно сделать МРТ краниовертебрального перехода по доступной цене с применением современного оборудования и строгим соблюдением диагностических протоколов. Многие пациенты заранее уточняют, сколько стоит МРТ краниовертебрального перехода в Москве, чтобы спланировать обследование. Также актуальным остается вопрос, где пройти МРТ краниовертебрального перехода недорого, без потери качества диагностики. Клиника «Чудо Доктор» — место где можно не переживать за качество и точность диагностики.

Вопрос–ответ

Что показывает исследование?

Метод позволяет детально оценить костные структуры, спинной мозг, связки и мягкие ткани в области соединения черепа и позвоночника.

Чем МРТ краниовертебрального перехода отличается от КТ?

МРТ обеспечивает лучшую визуализацию мягких тканей и не использует рентгеновское излучение, в отличие от компьютерной томографии.

Какой врач расшифровывает результаты?

Заключение подготавливает врач-рентгенолог, а клиническую интерпретацию выполняет профильный специалист.

Сколько длится процедура?

Средняя продолжительность исследования составляет от 15 до 25 минут.

Можно ли есть и пить перед исследованием?

Ограничений по приему пищи и жидкости нет, если не планируется контрастное усиление.

Нужно ли направление врача?

Направление желательно, но обследование возможно пройти и по инициативе пациента.

Безопасно ли исследование?

Процедура не связана с лучевой нагрузкой и считается безопасной при отсутствии противопоказаний.

Как часто можно делать МРТ?

Исследование допустимо повторять столько раз, сколько требуется для динамического наблюдения.

Автор

рентгенолог, врач-рентгенолог

Врач высшей категории, кандидат медицинских наук
Стаж 42 лет
МРТ Показать все

Акция МРТ ночью со скидкой Подробнее

МРТ краниовертебрального перехода - цены

  • Диагностика
  • МРТ краниовертебрального перехода
    6400

Показать всех
Дружинина  Елена Николаевна Дружинина Елена Николаевна Дружинина Елена Николаевна

врач-рентгенолог

Стаж 28 лет
  • ДМС
Чугаев Антон Иванович Чугаев Антон Иванович Чугаев Антон Иванович

врач-рентгенолог

Стаж 23 лет
  • ДМС
Мотина Анастасия Николаевна Мотина Анастасия Николаевна Мотина Анастасия Николаевна

врач-рентгенолог, рентгенолог

Стаж 4 лет
  • ДМС
Ильин Борис Сергеевич Ильин Борис Сергеевич Ильин Борис Сергеевич

врач-рентгенолог

Стаж 12 лет
  • ДМС
Малахова  Мария Владимировна Малахова Мария Владимировна Малахова Мария Владимировна

рентгенолог, врач-рентгенолог

  • ДМС
Бахчоян Вардан Рубенович Бахчоян Вардан Рубенович Бахчоян Вардан Рубенович

рентгенолог, врач-рентгенолог

Стаж 14 лет
  • ДМС
Шаповалова Евгения Петровна Шаповалова Евгения Петровна Шаповалова Евгения Петровна

врач-рентгенолог

Стаж 4 лет
  • ДМС
Тухтаев Улугбек Турсунбаевич Тухтаев Улугбек Турсунбаевич Тухтаев Улугбек Турсунбаевич

рентгенолог, врач-рентгенолог

Врач высшей категории, кандидат медицинских наук Стаж 42 лет Отзывы (2)
  • ДМС

Оборудование

Philips Panorama HFO — открытый МРТ

Philips Panorama HFO — открытый МРТ

  • Открытый МРТ для комфортной диагностики без клаустрофобии.
  • Напряжённость магнитного поля 1.0 Тл.
  • Аппарат подходит для работы с детьми, пожилыми пациентами и людьми с повышенной тревожностью.
  • Открытая конструкция обеспечивает широкий доступ к пациенту, а фирменные технологии Philips (SENSE, оптимизированные катушки, улучшенная однородность поля) позволяют получать качественные снимки даже на низком поле.

Запишитесь на прием онлайн

Без очередей и длительного ожидания, в удобное для вас время к любому врачу

Записаться на диагностику
Запишитесь на прием онлайн

Отзывы

  • 03 августа 2022

    Огромная благодарность доктору Тухтаеву за его профессионализм!!! Благодаря грамотному описанию КТ удалось вовремя начать лечение и избежать приема кучи ненужных лекарств, тк клиническая картина (общее самочувствие и состояние) была намного "страшнее", чем оказались истинные результаты кт. Спасибо огромное, Доктор!!!

  • 07 января 2022

    Самый хороший из лучших рентгенолог

Не нашли интересующую вас услугу?

Оставьте ваши контактные данные и мы свяжемся с вами и постараемся помочь

Нажимая «Связаться», я подтверждаю, что даю согласие на обработку персональных данных и согласен с  условиями политики конфиденциальности

Лицензии и сертификаты
  • Лицензии
  • Сертификаты
  • Свидетельства
Пол
Документ, подтверждающий личность
Город проживания
Страна проживания:
Адрес места жительства:
Если адрес регистрации не совпадает:
Телефон
Вы работаете или учитесь:
Место работы или учебы:
Должность
Адрес работы или учебы:
Дата последнего посещения работы/учебы:
Поездки за границу:
Страна, которую вы посещали:
Дата прибытия в РФ:
Наличие контакта с больным ОРЗ/ОРВИ:
Дата контакта:
Есть ли у вас симптомы ОРЗ/ОРВИ:
Опишите симптомы:
Делали ли вы вакцину от COVID-19:
Наименование Вакцины:
Дата Вакцинации 1 этап:
Дата Вакцинации 2 этап:
Эл. почта
Отправить