Что показывает

МРТ надпочечников с контрастом — современный метод лучевой диагностики. Он позволяет с высокой точностью изучить внутреннюю структуру и функции надпочечников.

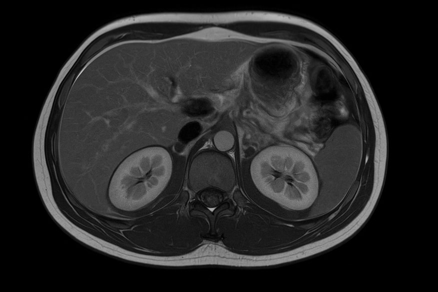
Магнитно-резонансная томография надпочечников с контрастом применяется для оценки строения тканей, состояния сосудов и обнаружения скрытых изменений, сопровождающих эндокринные заболевания. После введения препарата специалист видит мельчайшие сосуды и участки измененного кровоснабжения, что помогает выявить патологию и уточнить структуру новообразования.

Методика информативна при гиперплазии надпочечников, кистозных образованиях и аденомы надпочечников, особенно когда другие виды визуализации дают неполные данные. Высокопольный аппарат томографа формирует четкий снимок, а применение контрастных веществ последнего поколения гарантирует точность и безопасность процедуры.

Показания к проведению

МРТ надпочечников с контрастным веществом выполняют для выявления опухолей, гормональных дисфункций и воспалительных изменений. Такое исследование рекомендовано в следующих случаях:

  • подозрение на аденомы надпочечников или гиперплазию надпочечников;
  • контроль состояния после удаления доброкачественных новообразований;
  • уточнение результатов других обследований (КТ, УЗИ);
  • оценка возможных злокачественных опухолей и метастазов.

МРТ надпочечной железы с контрастом позволяет не только выявить опухоль, но и проанализировать ее кровоснабжение. Это ключевой метод диагностики заболеваний эндокринной системы, помогающий различить доброкачественные опухоли и злокачественные новообразования по характеру накопления контрастного препарата.

Противопоказания

Магнитно-резонансная томография надпочечной железы с контрастным веществом противопоказана пациентам с кардиостимуляторами, металлическими имплантатами и при тяжелых нарушениях функции почек. Не рекомендуется введение препарата при аллергии на препараты. В таких случаях подбирают альтернативные методы обследования без контраста. Врачи клиники «Чудо Доктор» в Москве используют безопасные методы диагностики и строго соблюдают стандарты проведения процедуры, чтобы исключить любые риски.

Как подготовиться к исследованию

За 4–6 часов до проведения процедуры желательно воздержаться от пищи и напитков с кофеином. Пациент сообщает врачу о хронических болезнях и аллергии на контрастное вещество.

Перед началом обследования выполняется контроль функции почек для безопасного введения контраста. Медицинский персонал использует проверенные препараты, не содержащие токсичных соединений. Перед исследованием снимают украшения, часы, металлические аксессуары. Врач подробно объясняет этапы сканирования, чтобы пациент чувствовал себя спокойно.

Как проводится процедура

МРТ надпочечников с контрастированием выполняется на цифровом аппарате томографа последнего поколения с магнитным полем 1,5–3 Тл, обеспечивающим высокое пространственное разрешение. Перед началом обследования пациента размещают на выдвижном столе, фиксируют положение для предотвращения микродвижений и подключают внутривенный катетер для введения контраста.

Исследование проходит в два этапа. На первом выполняется стандартное сканирование без контраста в режимах T1-, T2- и STIR-взвешенных изображений. Эти данные позволяют оценить анатомию органов, плотность тканей и симметрию желез. Второй этап — дополнительное контрастирование, когда в вену вводится препарат на основе гадолиния. Контраст циркулирует по кровеносной системе, обеспечивая различимую визуализацию сосудистого рисунка и структурных особенностей надпочечников.

Контрастное усиление позволяет не только уточнить структуру новообразования, но и зафиксировать динамику его накопления и выведения препарата. При злокачественных опухолях отмечается быстрый захват контраста и столь же стремительное его вымывание, тогда как доброкачественные опухоли характеризуются медленным и равномерным распределением вещества. Такой анализ называется динамическим перфузионным картированием и входит в стандарт современных МР-протоколов.

Магнитно-резонансная томография надпочечной железы с контрастированием продолжается около 30–40 минут, при сложных клинических случаях время может быть увеличено до 50 минут. Врач-радиолог наблюдает за процессом в реальном времени, оценивая качество изображения, синхронизацию дыхательных движений и артефакты, чтобы при необходимости скорректировать параметры.

Современные алгоритмы реконструкции (GRAPPA, Compressed Sensing) позволяют получать объемные трехмерные модели органа, что облегчает хирургу планирование операций и эндокринологу — выбор терапии. В большинстве центров применяются низкоплотные контрастные препараты с минимальной нефротоксичностью, полностью выводящиеся из организма в течение 24 часов.

После завершения процедуры пациент остается под наблюдением несколько минут для исключения аллергической реакции, затем может сразу вернуться к обычной активности. Полученные изображения архивируются в электронном виде, а врач формирует первичный отчет уже в день обращения. Таким образом, процедура безопасна, безболезненна и дает исчерпывающую информацию о состоянии надпочечников и окружающих тканей.

Расшифровка

После завершения процедуры врач анализирует изображения, оценивая форму, размеры и плотность тканей. МРТ надпочечников с контрастом помогает определить структуру новообразования, сосудистую активность и наличие метастазов. При контрастном усилении отчетливо видны отличия между доброкачественными опухолями и злокачественными.

Магнитно-резонансная томография надпочечной железы с контрастным веществом используется также для контроля эффективности терапии. Данные позволяют врачу точно описать результаты, сделать выводы и передать их эндокринологу. Расшифровка включает цифровой снимок и письменное заключение с медицинским анализом.

Пациенты часто интересуются, где пройти МРТ надпочечников с контрастом в Москве, сколько стоит процедура и как сделать исследование. Узнать цену и записаться можно через форму на сайте клиники «Чудо Доктор». Стоимость обследования включает полную расшифровку и консультацию специалиста.

Вопрос/ответ

Для чего проводится?

Чтобы выявить опухоль, определить ее характер, сосудистую активность и отличить доброкачественные новообразования от злокачественных опухолей при патологиях надпочечников.

Как долго ждать результатов?

Расшифровку и готовый снимок выдают через 60–90 минут после проведения процедуры, включая анализ врача-рентгенолога.

Какая длительность процедуры?

Среднее время обследования — около 40 минут, включая введение контраста и основное сканирования.

Автор

врач-рентгенолог, рентгенолог

Стаж 4 лет
МРТ Показать все

Акция МРТ ночью со скидкой 01 февраля 2026 - 16 февраля 2026 Подробнее

МРТ надпочечников с контрастом - цены

  • Диагностика
  • МРТ надпочечников
    5900
  • МРТ надпочечников (ночь 22.00-08.00)
    5500

Показать всех
Дружинина  Елена Николаевна Дружинина Елена Николаевна Дружинина Елена Николаевна

врач-рентгенолог

Стаж 28 лет
  • ДМС
Чугаев Антон Иванович Чугаев Антон Иванович Чугаев Антон Иванович

врач-рентгенолог

Стаж 23 лет
  • ДМС
Мотина Анастасия Николаевна Мотина Анастасия Николаевна Мотина Анастасия Николаевна

врач-рентгенолог, рентгенолог

Стаж 4 лет
  • ДМС
Ильин Борис Сергеевич Ильин Борис Сергеевич Ильин Борис Сергеевич

врач-рентгенолог

Стаж 12 лет
  • ДМС
Малахова  Мария Владимировна Малахова Мария Владимировна Малахова Мария Владимировна

рентгенолог, врач-рентгенолог

  • ДМС
Бахчоян Вардан Рубенович Бахчоян Вардан Рубенович Бахчоян Вардан Рубенович

рентгенолог, врач-рентгенолог

Стаж 14 лет Отзывы (1)
  • ДМС
Шаповалова Евгения Петровна Шаповалова Евгения Петровна Шаповалова Евгения Петровна

врач-рентгенолог

Стаж 4 лет
  • ДМС
Тухтаев Улугбек Турсунбаевич Тухтаев Улугбек Турсунбаевич Тухтаев Улугбек Турсунбаевич

рентгенолог, врач-рентгенолог

Врач высшей категории, кандидат медицинских наук Стаж 42 лет Отзывы (2)
  • ДМС

Запишитесь на прием онлайн

Без очередей и длительного ожидания, в удобное для вас время к любому врачу

Записаться на диагностику
Запишитесь на прием онлайн

Отзывы

  • 09 февраля 2026

    Делали МРТ головного мозга в вечерние часы, понравилось отсутствие очередей, приняли по записи, вежливое обращение персонала и четкость действий, все рассказали и объяснили, процедура у ребенка прошла на ура. Ну и цена услуги очень приятная для Москвы.

  • 03 августа 2022

    Огромная благодарность доктору Тухтаеву за его профессионализм!!! Благодаря грамотному описанию КТ удалось вовремя начать лечение и избежать приема кучи ненужных лекарств, тк клиническая картина (общее самочувствие и состояние) была намного "страшнее", чем оказались истинные результаты кт. Спасибо огромное, Доктор!!!

  • 07 января 2022

    Самый хороший из лучших рентгенолог

Не нашли интересующую вас услугу?

Оставьте ваши контактные данные и мы свяжемся с вами и постараемся помочь

Нажимая «Связаться», я подтверждаю, что даю согласие на обработку персональных данных и согласен с  условиями политики конфиденциальности

Лицензии и сертификаты
  • Лицензии
  • Сертификаты
  • Свидетельства

Недавние просмотры

Пол
Документ, подтверждающий личность
Город проживания
Страна проживания:
Адрес места жительства:
Если адрес регистрации не совпадает:
Телефон
Вы работаете или учитесь:
Место работы или учебы:
Должность
Адрес работы или учебы:
Дата последнего посещения работы/учебы:
Поездки за границу:
Страна, которую вы посещали:
Дата прибытия в РФ:
Наличие контакта с больным ОРЗ/ОРВИ:
Дата контакта:
Есть ли у вас симптомы ОРЗ/ОРВИ:
Опишите симптомы:
Делали ли вы вакцину от COVID-19:
Наименование Вакцины:
Дата Вакцинации 1 этап:
Дата Вакцинации 2 этап:
Эл. почта
Отправить