• УЗИ предстательной железы трансабдоминально

Трансабдоминальное УЗИ простаты применяется в урологической практике как доступный и информативный способ первичной оценки предстательной железы. Исследование позволяет получить важные диагностические данные без инвазивного вмешательства, что особенно важно для пациентов, которым требуется щадящий подход.

Метод широко используется при первичном обращении, профилактических осмотрах и динамическом наблюдении. Он помогает врачу своевременно обнаружить изменения, которые могут не сопровождаться выраженными симптомами, но при этом требуют медицинского внимания.

Что представляет собой манипуляция

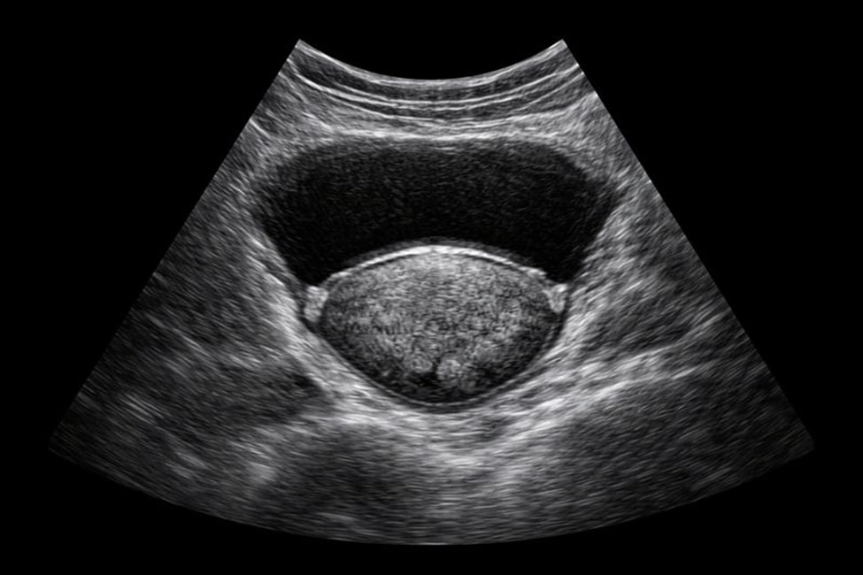
УЗИ предстательной железы трансабдоминально — это ультразвуковой метод визуализации, при котором сканирование выполняется через брюшной отдел. Исследование производится через переднюю поверхность тела, что делает процедуру максимально комфортной и психологически простой для пациента.

Во время обследования ультразвуковой датчик устанавливается на живот. Наполненный мочевой пузырь служит естественным акустическим окном. Врач получает четкое изображение органа, его контуров и прилегающих структур. Данный способ нередко используется как альтернатива трансректальной диагностике, когда последняя временно не рекомендована или противопоказана.

Показания

Назначение исследования осуществляется при наличии клинических симптомов, а также в рамках профилактического контроля. Решение принимает специалист, ориентируясь на жалобы и данные анамнеза.

Перечень основных показаний для проведения исследования включает следующие ситуации:

  • затрудненное мочеиспускание;
  • ощущение дискомфорта внизу живота;
  • необходимость контроля ранее выявленных изменений;
  • плановое обследование мужчин старшей возрастной группы.

Важно подчеркнуть, что исследование может проводиться и при отсутствии выраженных жалоб, в рамках профилактики.

Что показывает сканирование

Трансабдоминальное УЗИ простаты позволяет получить информацию об анатомических характеристиках органа и окружающих тканей. Врач оценивает размер, форму, четкость контуров и структуру предстательной железы.

Кроме того, метод дает возможность выявлять косвенные признаки воспалительных процессов, доброкачественных изменений и иных состояний мочеполовой системы. Дополнительно анализируется стенка мочевого пузыря и ее взаимосвязь с предстательной железой, что повышает диагностическую ценность исследования.

Подготовка к исследованию

Правильная подготовка является важным этапом, от которого зависит качество визуализации. Основное условие — достаточное наполнение мочевого пузыря перед обследованием.

Рекомендуется соблюдать следующие правила:

  • выпить обозначенный объем жидкости;
  • не опорожнять мочевой пузырь непосредственно перед исследованием;
  • выполнять индивидуальные указания специалиста.

Подробные рекомендации пациент получает у специалиста.

Как проходит процедура трансабдоминального УЗИ простаты

УЗИ предстательной железы проводится трансабдоминально в условиях диагностического кабинета. Пациент располагается на кушетке в положении лежа на спине, что обеспечивает удобный доступ к зоне исследования.

Врач наносит контактный гель и выполняет сканирование через переднюю брюшную поверхность. Процедура проходит безболезненно, не требует анестезии и хорошо переносится большинством пациентов, включая людей пожилого возраста.

Результаты исследования

После завершения обследования врач оформляет подробное заключение. В документе отражаются полученные параметры, анатомические особенности и возможные отклонения от нормативных значений.

Результаты исследования используются для постановки диагноза, оценки динамики состояния и выбора дальнейшей тактики наблюдения. Сведения могут стать основанием для назначения дополнительных методов диагностики.

Преимущества метода

Исследование обладает рядом преимуществ, благодаря которым активно используется в клинической практике. Оно подходит как для первичной диагностики, так и для наблюдения в динамике.

К основным преимуществам относятся следующие:

  • отсутствие инвазивного вмешательства;
  • высокая степень комфорта для пациента;
  • возможность проведения при ограничениях к другим методам;
  • доступность и достаточная информативность.

Важно отметить, что данный метод часто применяется как стартовый этап диагностического поиска.

Противопоказания

Абсолютных противопоказание к проведению исследования не существует. Метод относится к безопасным и щадящим способам диагностики.

Временные ограничения могут быть связаны с невозможностью наполнения мочевого пузыря или выраженным болевым синдромом. В таких случаях решение о целесообразности обследования принимается индивидуально.

Ответы на популярные вопросы

Что показывает исследование?

Исследование позволяет оценить размеры, форму и структурные особенности предстательной железы, а также состояние прилегающих органов.

Какой врач расшифровывает результаты трансабдоминального УЗИ простаты?

Заключение составляет врач ультразвуковой диагностики, после чего данные анализируются урологом.

Сколько длится процедура?

Средняя продолжительность обследования составляет около 15—20 минут, процедура не требует последующего восстановления.

Можно ли есть и пить перед исследованием?

Прием пищи не ограничен, но необходимо соблюдать питьевой режим для наполнения мочевого пузыря.

Нужно ли направление врача для исследования?

Направление желательно, но обследование доступно по инициативе пациента.

Безопасно ли исследование?

Да, метод не связан с облучением и может применяться многократно.

Как часто можно делать УЗИ?

Частота проведения определяется медицинскими показаниями и не имеет строгих ограничений.

Пациенты часто интересуются, где можно недорого пройти УЗИ предстательной железы трансабдоминально. Сделать трансабдоминальное УЗИ простаты по хорошей цене мужчины могут в клинике «Чудо Доктор» в Москве. В нашем медицинском центре используются современное оборудование и индивидуальный подход.

Многих волнует, сколько стоит трансабдоминальное УЗИ простаты. Стоимость зависит от объема обследования и квалификации специалиста. Трансабдоминальное ультразвуковое исследование предстательной железы является востребованной услугой клиники «Чудо Доктор».

Автор

акушер-гинеколог, узи диагностика

Стаж 33 лет
Ультразвуковая диагностика Показать все

Акция УЗИ после 15:00 дешевле 30 января 2026 - 16 февраля 2026 Подробнее

Трансабдоминальное УЗИ простаты - цены

  • Диагностика
  • УЗИ предстательной железы трансабдоминально
    1900

Показать всех
Азарова Ольга Валентиновна Азарова Ольга Валентиновна Записаться Азарова Ольга Валентиновна

акушер-гинеколог, репродуктолог, узи диагностика

Врач высшей категории Стоимость
приема:
4 200* ₽
Стаж 22 лет
Тхакахова Ляна Аслановна Тхакахова Ляна Аслановна Записаться Тхакахова Ляна Аслановна

акушер-гинеколог, узи диагностика, гинеколог-эндокринолог

Стоимость
приема:
3 200 ₽
Стаж 9 лет Отзывы (3)
  • ДМС
Потапенко Александр Алексеевич Потапенко Александр Алексеевич Записаться Потапенко Александр Алексеевич

уролог-андролог, узи диагностика

Врач высшей категории Стоимость
приема:
3 200 ₽
Стаж 23 лет
  • ДМС
Исаков Максим Николаевич Исаков Максим Николаевич Записаться Исаков Максим Николаевич

уролог-хирург, уролог-андролог, узи диагностика

Стоимость
приема:
3 200 ₽
Стаж 10 лет
  • ДМС
Гоптарева (Горохова) Валерия Владимировна Гоптарева (Горохова) Валерия Владимировна Записаться Гоптарева (Горохова) Валерия Владимировна

акушер-гинеколог, узи диагностика

Стоимость
приема:
4 200 ₽
Стаж 27 лет Отзывы (25)
Балябина Светлана Витальевна Балябина Светлана Витальевна Записаться Балябина Светлана Витальевна

акушер-гинеколог, узи диагностика

Стоимость
приема:
3 600 ₽
Стаж 35 лет Отзывы (15)
Губарева Вера Владимировна Губарева Вера Владимировна Записаться Губарева Вера Владимировна

акушер-гинеколог, узи диагностика

Врач высшей категории, кандидат медицинских наук Стоимость
приема:
3 600 ₽
Стаж 43 лет Отзывы (21)
  • ДМС
Радлевич Наталья Вадимовна Радлевич Наталья Вадимовна Записаться Радлевич Наталья Вадимовна

акушер-гинеколог, узи диагностика

Врач высшей категории, кандидат медицинских наук Стоимость
приема:
3 600 ₽
Стаж 29 лет Отзывы (8)
  • ДМС
Нагайцева Елена Анатольевна Нагайцева Елена Анатольевна Нагайцева Елена Анатольевна

акушер-гинеколог, узи диагностика

Стаж 33 лет
  • ДМС
Белов  Евгений Владимирович Белов Евгений Владимирович Белов Евгений Владимирович

узи диагностика

Стаж 22 лет
  • ДМС
Башкиров Максим Александрович Башкиров Максим Александрович Башкиров Максим Александрович

узи диагностика

Стаж 2 лет
  • ДМС
Шихалиева Заира Гюльмагомедовна Шихалиева Заира Гюльмагомедовна Записаться Шихалиева Заира Гюльмагомедовна

акушер-гинеколог, узи диагностика

Стоимость
приема:
3 200 ₽
Стаж 8 лет Отзывы (3)
  • ДМС
Расторгуева Лариса Игоревна Расторгуева Лариса Игоревна Расторгуева Лариса Игоревна

акушер-гинеколог, узи диагностика, гинеколог-эндокринолог

Врач высшей категории Стоимость
приема:
3 200 ₽
Стаж 23 лет Отзывы (1)
Горностаева Ирина Николаевна Горностаева Ирина Николаевна Записаться Горностаева Ирина Николаевна

акушер-гинеколог, маммолог-онколог, узи диагностика

Кандидат медицинских наук Стоимость
приема:
3 600 ₽
Стаж 31 лет Отзывы (1)
  • ДМС
Сизов Дмитрий Ярославович Сизов Дмитрий Ярославович Сизов Дмитрий Ярославович

узи диагностика

Стаж 27 лет Отзывы (1)
Абдуллоев Сухроб Махмадуллоевич Абдуллоев Сухроб Махмадуллоевич Абдуллоев Сухроб Махмадуллоевич

эндоскопист, узи диагностика

Стаж 9 лет Отзывы (2)
  • ДМС
Гумель Лариса Александровна Гумель Лариса Александровна Записаться Гумель Лариса Александровна

акушер-гинеколог, гинеколог-эндокринолог, узи диагностика

Врач первой категории Стоимость
приема:
3 600 ₽
Стаж 20 лет Отзывы (11)
Ташкаева  Елена  Ивановна Ташкаева Елена Ивановна Записаться Ташкаева Елена Ивановна

акушер-гинеколог, узи диагностика

Стоимость
приема:
4 200 ₽
Стаж 20 лет Отзывы (12)
  • ДМС
Алавердян Арминэ Арцруновна Алавердян Арминэ Арцруновна Алавердян Арминэ Арцруновна

акушер-гинеколог, узи диагностика

Стоимость
приема:
3 200 ₽
Стаж 24 лет Отзывы (2)
  • ДМС

Запишитесь на прием онлайн

Без очередей и длительного ожидания, в удобное для вас время к любому врачу

Записаться на диагностику
Запишитесь на прием онлайн

Отзывы

  • 10 ноября 2025

    Наблюдаюсь у Натальи Вадимовны уже не первый год, до этого сменила несколько врачей, поэтому есть с чем сравнить. Говорить о ее работе в превосходных степенях можно до бесконечности. Я скажу коротко - она врач от Бога. Наталья Вадимовна, огромное спасибо Вам за Ваш труд!

  • 05 октября 2025

    Очень благодарю данного врача. Она всегда отвечает всегда на все вопросы развернуто и понятно. Очень тактичная и приятная. Не назначает лишние анализы. Назначает эффективное лечение и контроль.

  • 03 октября 2025

    Хочу выразить огромную признательность Ларисе Александровне Гумель. Это замечательный и внимательный врач. Я проходила у неё УЗИ органов малого таза, и она предоставила мне исчерпывающие ответы на все мои вопросы. Вот если бы все врачи были такие)

Не нашли интересующую вас услугу?

Оставьте ваши контактные данные и мы свяжемся с вами и постараемся помочь

Нажимая «Связаться», я подтверждаю, что даю согласие на обработку персональных данных и согласен с  условиями политики конфиденциальности

Лицензии и сертификаты
  • Лицензии
  • Сертификаты
  • Свидетельства
Пол
Документ, подтверждающий личность
Город проживания
Страна проживания:
Адрес места жительства:
Если адрес регистрации не совпадает:
Телефон
Вы работаете или учитесь:
Место работы или учебы:
Должность
Адрес работы или учебы:
Дата последнего посещения работы/учебы:
Поездки за границу:
Страна, которую вы посещали:
Дата прибытия в РФ:
Наличие контакта с больным ОРЗ/ОРВИ:
Дата контакта:
Есть ли у вас симптомы ОРЗ/ОРВИ:
Опишите симптомы:
Делали ли вы вакцину от COVID-19:
Наименование Вакцины:
Дата Вакцинации 1 этап:
Дата Вакцинации 2 этап:
Эл. почта
Отправить