• Рентгенография пяточной кости (1 проекция)
  • Рентгенография пяточной кости (2 проекции)

Боль в области пятки существенно ограничивает подвижность и снижает качество жизни, особенно если дискомфорт усиливается при ходьбе или опоре на ногу. Подобные симптомы могут быть связаны как с травматическими повреждениями, так и с хроническими изменениями костной ткани. Рентген пяточной кости применяется для быстрой инструментальной оценки и помогает врачу определить причину боли уже на первичном этапе обращения.

Что представляет собой процедура

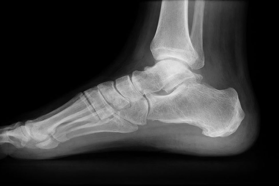
Рентгенография пяточной кости — это метод лучевой визуализации, при котором с помощью рентгеновского излучения получают изображение костных структур заднего отдела стопы. В ходе обследования фиксируется состояние пяточной кости, что позволяет оценить ее анатомические особенности, форму и положение относительно других элементов стопы. Обследование направлено на изучение плотности костной ткани, целостности структуры и возможных изменений, связанных с травмами, воспалительными процессами или дегенеративными нарушениями.

Такой метод широко используется в медицинской практике благодаря сочетанию информативности и доступности. Он позволяет быстро получить наглядные данные о состоянии костной ткани. Дополнительным преимуществом считается отсутствие сложной подготовки — диагностическую манипуляцию возможно провести в день обращения пациента.

Показания

Назначение обследования оправдано при жалобах, связанных с болевым синдромом и нарушением опоры на стопу. Рентген пяточной кости может проводиться как при острых состояниях, так и при длительно сохраняющемся дискомфорте.

Основные ситуации, при которых обследование считается целесообразным:

  • боль в области пятки при ходьбе или нагрузке;
  • подозрение на перелом после травмы;
  • отек и болезненность заднего отдела стопы;
  • снижение опорной функции ноги;
  • контроль состояния после лечения.

После оценки жалоб и осмотра врач принимает решение о необходимости диагностики.

Что показывает процедура

Рентген пяточной кости позволяет детально оценить целостность костной ткани и общее состояние пяточной кости, выявить трещины, деформации и изменения ее структуры. На полученном изображении могут визуализироваться различные патологические признаки, включая костную шпору, которая нередко становится причиной хронической боли при нагрузке на стопу. Также на снимке могут определяться проявления воспалительных процессов, участки уплотнения костной ткани или последствия ранее перенесенной травмы.

Метод дает доктору возможность выявлять патологические изменения, влияющие на анатомическое положение кости, распределение нагрузки при ходьбе и опоре на ногу. Благодаря этому врач получает объективную информацию, необходимую для уточнения диагноза, оценки степени выраженности изменений и выбора дальнейшей тактики наблюдения или лечения.

Подготовка к исследованию

Подготовка к обследованию не предусматривает сложных ограничений, а сама диагностическая процедура легко переносится большинством пациентов. Перед ее началом необходимо снять обувь и металлические аксессуары со стопы. Корректная подготовка позволяет получить качественный рентген-снимок пяточной кости без искажений и необходимости в повторных экспозициях.

Как проходит процедура

Рентген пяточной кости проводится в специально оборудованном кабинете с использованием современного диагностического оборудования. Пациенту предлагают занять определенное положение, обеспечивающее правильную фиксацию стопы и минимизацию искажений изображения. После этого специалист подбирает оптимальную проекцию, исходя из цели обследования и клинической задачи.

Чаще всего используется боковой вариант укладки, который позволяет получить наиболее информативное изображение пяточной кости и окружающих структур. Во время выполнения снимка важно сохранять неподвижность, чтобы результат был четким и точным. Процедура проводится быстро, не вызывает болевых ощущений и не сопровождается выраженным дискомфортом. После ее завершения пациент может сразу вернуться к привычной активности, то есть период восстановления не требуется.

Результаты исследования

Полученный снимок анализируется специалистом по лучевой диагностике с учетом анатомических особенностей и клинической задачи исследования. Рентгенография пяточной кости дает врачу возможность подробно оценить состояние костной ткани, степень выраженности выявленных изменений и общее состояние опорной зоны стопы. При анализе изображения специалист обращает внимание на целостность кости, наличие деформаций, костных разрастаний и других отклонений от нормы.

По итогам исследования оформляется письменное заключение, в котором отражаются основные диагностические находки и их клиническая значимость. Полученные данные используются врачом для дальнейшего планирования лечения, динамического наблюдения или принятия решения о необходимости задействования дополнительных методов обследования.

Преимущества метода

Метод сохраняет высокую востребованность в клинической практике. Рентген пяточной кости применяется как самостоятельный этап обследования или как часть комплексной диагностики.

К основным преимуществам метода относятся следующие особенности:

  • быстрота выполнения;
  • минимальная лучевая нагрузка;
  • высокая информативность;
  • доступный формат обследования.

После оценки преимуществ становится понятно, почему метод широко используется в диагностических центрах. Если вы ищете, где можно пройти рентген пяточной кости недорого, обращайтесь в клинику «Чудо Доктор».

Противопоказания

Несмотря на относительную безопасность процедуры, существуют определенные ограничения. Обследование не рекомендуется беременным женщинам без строгих медицинских показаний. В остальных случаях решение принимается индивидуально с учетом клинической ситуации и общего состояния пациента.

Вопрос — ответ

Что показывает исследование?

Исследование позволяет доктору выявить изменения пяточной кости, включая трещины, деформации, костные разрастания и последствия травматического воздействия.

Чем рентгенография данной зоны отличается от КТ?

Рентгенография пяточной кости используется для первичной оценки, тогда как КТ дает более детализированное изображение при сложных диагностических случаях.

Какой врач расшифровывает результаты?

Расшифровку выполняет врач-рентгенолог, после чего заключение передается лечащему специалисту.

Сколько длится процедура?

Процедура занимает несколько минут, включая укладку и получение изображения.

Можно ли есть и пить перед исследованием?

Ограничений по приему пищи и жидкости перед обследованием нет.

Нужно ли направление врача для исследования?

Направление желательно, но обследование может проводиться и по инициативе пациента.

Безопасно ли исследование?

Да, лучевая нагрузка соответствует установленным нормативам.

Как часто можно делать обследование?

Частота определяется индивидуально и зависит от клинической необходимости.

Пациентов часто интересует, сколько стоит рентгенография пяточной кости и от чего зависит итоговая стоимость. На цену влияют квалификация специалистов и уровень оснащения клиники. Сделать рентген пяточной кости по хорошей цене можно в клинике «Чудо Доктор» в Москве. В нашем медицинском центре обследование проводится на современном оборудовании, а медицинский персонал уделяет внимание каждому пациенту. Предусмотрена удобная онлайн-запись.

Автор

рентгенолог, врач ультразвуковой диагностики

Кандидат медицинских наук
Стаж 18 лет
Рентген (рентгенография) Показать все

Рентгенография пяточной кости - цены

  • Диагностика
  • Рентгенография пяточной кости (1 проекция)
    2590
  • Рентгенография пяточной кости (2 проекции)
    3000

Показать всех
Дружинин Андрей Сергеевич Дружинин Андрей Сергеевич Дружинин Андрей Сергеевич

рентгенолог

Стаж 10 лет Отзывы (1)
  • ДМС
Кириллова Елена Сергеевна Кириллова Елена Сергеевна Кириллова Елена Сергеевна

рентгенолог, врач ультразвуковой диагностики

Кандидат медицинских наук Стаж 18 лет Отзывы (4)
  • ДМС
Яцык Анна Сергеевна Яцык Анна Сергеевна Яцык Анна Сергеевна

рентгенолог

Стаж 4 лет
  • ДМС
Мотина Анастасия Николаевна Мотина Анастасия Николаевна Мотина Анастасия Николаевна

врач-рентгенолог, рентгенолог

Стаж 4 лет
  • ДМС
Малахова  Мария Владимировна Малахова Мария Владимировна Малахова Мария Владимировна

рентгенолог, врач-рентгенолог

  • ДМС
Бахчоян Вардан Рубенович Бахчоян Вардан Рубенович Бахчоян Вардан Рубенович

рентгенолог, врач-рентгенолог

Стаж 14 лет
  • ДМС
Навотнева Елена Владимировна Навотнева Елена Владимировна Навотнева Елена Владимировна

врач ультразвуковой диагностики, рентгенолог

Стаж 20 лет
  • ДМС
Храмеев Степан Александрович Храмеев Степан Александрович Храмеев Степан Александрович

рентгенолог

Стаж 13 лет
  • ДМС
Харитонова  Алина Андреевна Харитонова Алина Андреевна Харитонова Алина Андреевна

рентгенолог

Стаж 8 лет Отзывы (1)
  • ДМС
Розанова Ольга Георгиевна Розанова Ольга Георгиевна Розанова Ольга Георгиевна

рентгенолог

Стаж 26 лет
  • ДМС
Нарушвили Леван Раминович Нарушвили Леван Раминович Нарушвили Леван Раминович

рентгенолог

Стаж 13 лет
  • ДМС
Григорьева Надежда Петровна Григорьева Надежда Петровна Григорьева Надежда Петровна

рентгенолог

Стаж 30 лет
  • ДМС
Асанова Жанета Исмаиловна Асанова Жанета Исмаиловна Асанова Жанета Исмаиловна

рентгенолог

Врач высшей категории, кандидат медицинских наук Стаж 27 лет Отзывы (2)
  • ДМС
Лобанов Григорий Евгеньевич Лобанов Григорий Евгеньевич Лобанов Григорий Евгеньевич

рентгенолог

Стаж 27 лет Отзывы (2)
  • ДМС
Кондров Михаил Александрович Кондров Михаил Александрович Кондров Михаил Александрович

рентгенолог

Врач высшей категории Стаж 26 лет Отзывы (2)
  • ДМС
Зубарев Игорь Сергеевич Зубарев Игорь Сергеевич Зубарев Игорь Сергеевич

рентгенолог

Стаж 13 лет Отзывы (1)
  • ДМС
Ахмадьянов Константин Юрьевич Ахмадьянов Константин Юрьевич Ахмадьянов Константин Юрьевич

рентгенолог

Врач первой категории Стаж 13 лет Отзывы (2)
  • ДМС
Тухтаев Улугбек Турсунбаевич Тухтаев Улугбек Турсунбаевич Тухтаев Улугбек Турсунбаевич

рентгенолог, врач-рентгенолог

Врач высшей категории, кандидат медицинских наук Стаж 42 лет Отзывы (2)
  • ДМС
Кузнецова Лариса Алексеевна Кузнецова Лариса Алексеевна Кузнецова Лариса Алексеевна

рентгенолог

Стаж 20 лет
  • ДМС
Никифорова Зоя Николаевна Никифорова Зоя Николаевна Никифорова Зоя Николаевна

рентгенолог

Стаж 31 лет
  • ДМС

Запишитесь на прием онлайн

Без очередей и длительного ожидания, в удобное для вас время к любому врачу

Записаться на диагностику
Запишитесь на прием онлайн

Отзывы

  • 26 августа 2025

    Грамотный специалист , все объяснил , рекомендую

  • 17 июля 2025

    Грамотная!Очень вежливая.не смотря на то что,был конец робочего дня ьыла очень уставшая всеровно ответила на мои вопросы очень вежливо.я попросила объяснить описание кт в двух словах.огромное спасибо доктору.низкий поклон!!!хорошо что вы есть!!!!!!

  • 11 мая 2025

    Неделю назад делала МРТ коленных суставов в клинике "Чудо-Доктор". Хочу поблагодарить врача-рентгенолога Харитонову Алину Андреевну за подготовленные снимки и описание к ним, которое позволило своевременно выявить причины проблем с коленями и приступить к лечению. В целом процедура обследования была проведена максимально комфортно и квалифицированно. Спасибо!

Не нашли интересующую вас услугу?

Оставьте ваши контактные данные и мы свяжемся с вами и постараемся помочь

Нажимая «Связаться», я подтверждаю, что даю согласие на обработку персональных данных и согласен с  условиями политики конфиденциальности

Лицензии и сертификаты
  • Лицензии
  • Сертификаты
  • Свидетельства
Пол
Документ, подтверждающий личность
Город проживания
Страна проживания:
Адрес места жительства:
Если адрес регистрации не совпадает:
Телефон
Вы работаете или учитесь:
Место работы или учебы:
Должность
Адрес работы или учебы:
Дата последнего посещения работы/учебы:
Поездки за границу:
Страна, которую вы посещали:
Дата прибытия в РФ:
Наличие контакта с больным ОРЗ/ОРВИ:
Дата контакта:
Есть ли у вас симптомы ОРЗ/ОРВИ:
Опишите симптомы:
Делали ли вы вакцину от COVID-19:
Наименование Вакцины:
Дата Вакцинации 1 этап:
Дата Вакцинации 2 этап:
Эл. почта
Отправить